4. Main types of fixation
🔍 Why several fixation systems?
There are several ways to fix a bone or a joint, whether repairing a broken bone or correcting a joint. Depending on the type of surgery, the size of the animal, and the surgeon’s habits, several fixation strategies are possible.
Each system has its mechanical advantages and specific indications.
To simplify, there are 3 main families of fixation:
External fixation

Plate and screws
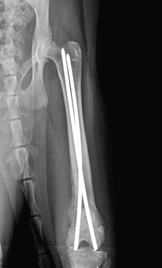
Pins
🧱 The main principles of fixation
System | Simplified description | Main objective | Clinical example |
Internal fixation with plate and screws | Metal plate screwed onto the bone, on the outer surface | Keep bone fragments aligned or a joint stable to allow consolidation | Fracture of the femur, radius, tibia |
Fixation with pins | Metal rods inserted through the bone or into the medullary cavity | Straighten and temporarily hold a simple fracture. Fix a small fragment. Fracture near a joint | Diaphyseal fracture in a young animal. Articular fracture |
External fixators | Pins crossing the skin and bone, connected by bars outside | Maintain the stability of a bone or joint without fully opening the bone site. Avoid placing hardware in the contaminated area | Open fracture. Ankle sprain |
The choice of fixation technique depends on several criteria:
- type and location of the fracture,
- the condition of the surrounding soft tissues,
- the size and age of the animal,
- the mechanical stability required for bone consolidation,
- the complexity of the surgery and the veterinarian’s experience,
- the available equipment,
- as well as constraints related to postoperative follow‑up and home care.
⚖️ Simplified comparison
Criterion | Plates & screws | External fixators | Pins / nails |
Stability | Excellent | Medium to excellent | Medium |
Invasiveness | Requires opening the bone site | Percutaneous placement | Less invasive |
Operative time | Medium to long | Short to medium | Short |
Typical use | Diaphyseal fractures, osteotomies, TPLO, arthrodeses | Open, infected fractures, joint sprains | Simple or articular fractures |
Equipment | Lots of costly equipment: plates, screws, guides, drills, screwdrivers | Little equipment: pins, rods, clamps, tightening wrenches | Little equipment: smooth or threaded pins, pin cutter, cerclage wire |
💡 Takeaway
The right equipment is the one that ensures stability suited to the biology of healing.
Plates and screws are the most precise and versatile internal fixation system.
But there are other approaches (pins, nails, external fixators) depending on the nature of the fracture or the surgeon’s protocol.